Medische beeldvorming
Op de locatie in Bergschenhoek kunnen röntgenfoto’s gemaakt worden, zowel ‘normale’ röntgenfoto’s als dentale röntgenfoto’s (bij een gebitsbehandeling).
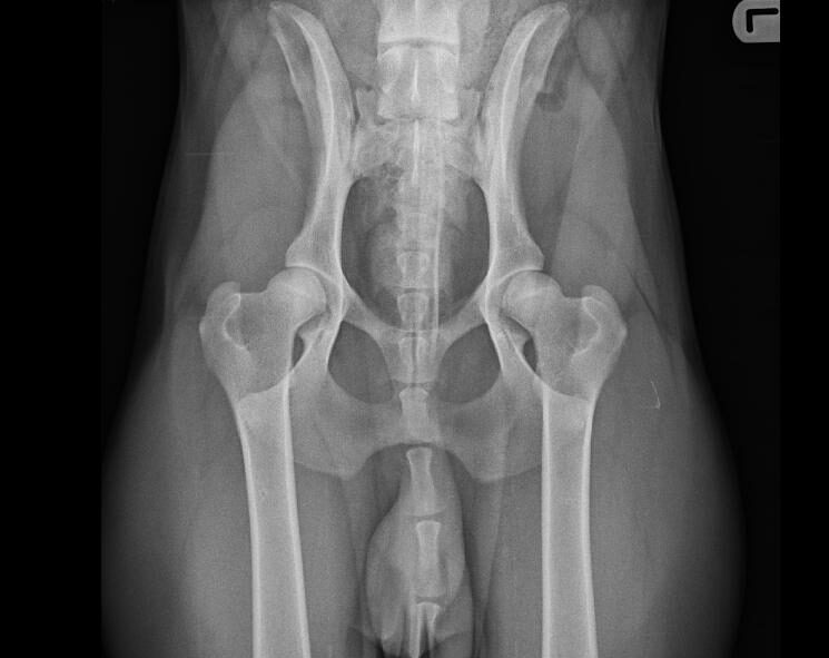
Wat zijn röntgenfoto’s?
Bij een röntgenfoto wordt er met behulp van röntgenstralingen een opname gemaakt van de binnenkant van het lichaam. Bepaalde weefsels in het lichaam houden de röntgenstralen tegen, terwijl andere ze gemakkelijk doorlaten. Hierdoor is het mogelijk om verschillende structuren in het lichaam op een röntgenfoto te zien.
Waarom zou uw huisdier röntgenfoto’s nodig hebben?
Röntgenfoto’s kunnen worden gebruikt om verschillende aandoeningen en problemen te helpen diagnosticeren, variërend van botbreuken tot problemen met interne organen zoals de longen, lever en nieren. Ook worden röntgenfoto’s gebruikt voor het maken van officiële HD/ED-röntgenfoto’s voor het beoordelen van de heup- en ellebooggewrichten bij bepaalde hondenrassen.

Hoe gaat het maken van röntgenfoto’s?
Het maken van röntgenfoto’s is een niet-invasieve procedure waarbij uw huisdier op een tafel wordt geplaatst en eventueel in een bepaalde ‘houding’ gepositioneerd wordt. Vaak kan dit uitgevoerd worden zonder narcose, echter in enkele gevallen kan een korte sedatie nodig zijn. Het proces is snel en comfortabel voor uw huisdier, en onze ervaren dierenartsen en paraveterinairen zorgen ervoor dat alles veilig verloopt.
Wat gebeurt er na de röntgenfoto’s?
Na het maken van de röntgenfoto’s zal onze dierenarts de beelden zorgvuldig beoordelen (dit gebeurt vaak direct) om eventueel een diagnose te kunnen stellen. Indien nodig kunnen verdere onderzoeken en/of behandelingen worden aanbevolen op basis van de bevindingen van de röntgenfoto’s.


